1950年前後の精神薬理学(psychopharmacology)の登場
精神薬理学の歴史
精神医学において 1950年前後の精神薬理学(psychopharmacology)の登場は、精神医学史の中でも最大級の転換点の一つです。
- 精神療法
- 環境療法
- 電気ショック療法
- 精神外科(ロボトミー)
それ以前は精神疾患の治療は上記の療法が中心でした。しかし1950年代以降、脳内神経伝達物質を標的とする薬物が次々に発見され、精神疾患が「脳の機能障害として治療可能な医学疾患」であるという理解が急速に広まりました。その歴史的変遷を時系列で整理します。
精神薬理学の歴史(大きく5段階)
1950年代 抗精神病薬の発見
1960年代 抗うつ薬の登場
1970年代 気分安定薬の確立
1980〜90年代 SSRIなど新世代薬
2000年代以降 神経回路・個別化医療

クロルプロマジン(1952)
発見者:アンリ・ラボリ(フランスの外科医)
元々は、麻酔補助薬として研究されていました。
効果:統合失調症患者の
- 幻覚
- 妄想
- 興奮
を抑制しました。
神経科学的理解:抗精神病薬はドーパミンD2受容体を遮断します。

社会的影響:精神病院の入院患者が急激に減少しました。
例
アメリカ精神病院患者数
1955
約56万人
1990
約10万人
イミプラミン(1957)

最初の抗うつ薬です。当初は抗精神病薬の研究中に発見されました。
モノアミン仮説
うつ病は
- セロトニン
- ノルアドレナリン
の不足と考えられました。

影響:精神疾患は、神経伝達物質の異常という概念が広まりました。
リチウム(1949〜1970)発見者ジョン・ケイド
効果
双極性障害の
- 躁状態
- 再発
を予防しました。
意義:精神疾患の再発予防が可能になりました。
SSRI(1987)代表薬:フルオキセチン(プロザック)

特徴:従来薬より
- 副作用が少ない
- 安全性が高い

影響:うつ病治療が一般医療に広がりました。
新しい薬

- ケタミン
- グルタミン酸系薬

理論:精神疾患は、脳回路ネットワークの障害と理解されるようになりました。

DSMの歴史
DSM(Diagnostic and Statistical Manual of Mental Disorders)の歴史は、精神医学が精神分析中心 → 科学的診断体系へ移行した流れそのものです。
特に DSM-III(1980) は精神医学史における大転換点で、現在の診断の枠組みの基礎を作りました。
その変遷を時代順に整理します。
DSM誕生の背景(19〜20世紀前半)
DSMが作られる以前、精神疾患の診断は
- 医師の経験
- 理論(精神分析など)
- 症例観察
に大きく依存していました。
代表的な基盤となった研究
| 研究者 | 内容 |
|---|---|
| クレペリン | 精神疾患の分類 |
| ブロイラー | 統合失調症概念 |
| シュナイダー | 一級症状 |
しかし診断には問題がありました。
問題
- 医師によって診断が違う
- 国によって診断が違う
- 統計研究ができない
そのため 統一診断基準 が求められました。


背景
第二次世界大戦後、兵士の精神疾患研究が進みました。
特徴
- 精神分析の影響が強い
- 「反応(reaction)」概念
例
| 診断名 |
|---|
| 不安反応 |
| 抑うつ反応 |
| 精神分裂反応 |
問題は診断が非常に曖昧でした。



特徴
DSM-Iと大きく変わらず、精神分析的概念が多く残っていました。
社会的変化
1973年、同性愛が精神疾患から削除されました。これは精神医学史で重要な出来事です。



中心人物:ロバート・スピッツァー
最大の特徴:操作的診断基準(Operational Diagnostic Criteria)
例
統合失調症
症状リスト
- 妄想
- 幻覚
- 思考障害
など一定数以上で診断。
さらに重要な改革は「多軸診断」
| 軸 | 内容 |
|---|---|
| Axis I | 臨床障害 |
| Axis II | 人格障害 |
| Axis III | 身体疾患 |
| Axis IV | 社会問題 |
| Axis V | 機能評価 |
意義
DSM-IIIで精神医学は、科学的診断体系になりました。


特徴
研究データに基づき診断基準を改訂。
追加された概念
- PTSD
- ASD(自閉症スペクトラムの概念)



大きな変化
スペクトラム概念の導入。
例
| DSM-IV | DSM-5 |
|---|---|
| 自閉症 | 自閉スペクトラム |
| 統合失調症 | 統合失調症スペクトラム |
多軸診断廃止
DSM-IIIのAxis I〜Vは廃止されました。
- DSMの進化まとめ
-
1952 DSM-I
精神分析診断1968 DSM-II
概念中心1980 DSM-III
操作的診断革命1994 DSM-IV
研究データ統合2013 DSM-5
スペクトラム診断 - DSM革命の意味
-
DSMは、精神医学に3つの変化をもたらしました。
① 診断の信頼性
医師による違いを減らした。
② 研究が可能
同じ診断基準で世界中で研究できる。
③ 医療制度
- 保険
- 臨床試験
- 薬物治療
の基盤になりました。
- DSMの限界
-
DSMは便利ですが問題もあります。
批判
1・診断数が多すぎる
DSM-I:106
DSM-5:300以上
2・境界が曖昧:スペクトラム問題
3・脳科学とのズレ:神経回路分類とは一致しない。
- DSMの未来
-
現在研究されている新しい分類:RDoC(Research Domain Criteria)NIMHが提案。
- 精神医学の診断の進化
-
精神分析診断
↓
DSM操作診断
↓
スペクトラム診断
↓
神経回路診断(未来)
DSMとICDの基本的違い
精神医学の歴史を学ぶと DSMばかりが強調され、ICDがあまり語られないことに多くの方が疑問を持ちます。
DSMとICDは役割が違う診断体系です。
| 分類 | 性格 |
|---|---|
| DSM | 精神医学研究中心 |
| ICD | 世界の医療制度中心 |
つまり、DSMは精神医学の教科書、ICDは世界の医療共通言語のような関係です。
DSMとICDの基本的違い
| 項目 | DSM | ICD |
|---|---|---|
| 作成 | アメリカ精神医学会(APA) | 世界保健機関(WHO) |
| 対象 | 精神疾患のみ | すべての疾患 |
| 目的 | 精神医学研究 | 世界医療統計 |
| 使用地域 | 主に米国 | 世界 |
ICDとは何か:ICDはInternational Classification of Diseases(国際疾病分類)です。
作成機関はWorld Health Organization
ICDはすべての病気の分類です。
例
| 分類 | 内容 |
|---|---|
| 感染症 | A |
| 腫瘍 | C |
| 精神疾患 | F |
精神疾患はICDの一部
ICDでは、第6章精神・行動の障害として分類されています。
例(ICD-10)
| コード | 疾患 |
|---|---|
| F20 | 統合失調症 |
| F30 | 双極性障害 |
| F32 | うつ病 |
DSMが目立つ理由:精神医学史ではDSMが強調される理由があります。
① DSM革命:1980年Diagnostic and Statistical Manual of Mental Disorders (DSM-III)が登場しました。これにより操作的診断基準が確立しました。
DSM以前:診断は医師の印象精神分析でした。
DSM-III:症状リストによる診断。
例:うつ病
- 抑うつ気分
- 不眠
- 食欲低下
この変化は精神医学史最大の革命といわれます。
ICDとDSMの関係:現在はほぼ一致するように作られています。
例
| DSM | ICD |
|---|---|
| Major depressive disorder | Depressive episode |
| Schizophrenia | Schizophrenia |
WHOとAPAは、互いに調整しています。
最新版
現在DSM→ Diagnostic and Statistical Manual of Mental Disorders, Fifth Edition, Text Revision (DSM‑5‑TR)
ICD→ International Classification of Diseases 11th Revision (ICD‑11)
日本ではどちらが使われるか:医療制度ではICDです。
理由:日本の保険制度がICDを採用。しかし研究・教育ではDSMが多いようです。
精神医学史の位置づけ:DSMは精神医学の研究革命でした。
精神分析
↓
DSM革命
↓
脳科学
↓
神経精神医学
現在の精神医学の理解:現在は
DSM
+
ICD
+
神経科学
で精神医学が構成されています。
精神医学は症状観察→心理力動→生物学→診断体系→次元的診断(強さ連続的なスペクトラム)→RDoC(研究領域基準):脳科学・遺伝学の再定義やHiTOP(精神病理学の階層的分類):統計学による再編と進化し、臨床心理学は「脳・心・社会を統合した理解で介入する学問」および、脳回路への心理療法(研究ではCBT、EMDR、マインドフルネスが脳の可塑性誘導が示された)という考え方に進んでいます。最近では精神疾患を脳ネットワーク障害として理解されるようになりましたが、さらに今後はネットワーク精神医学として、脳(生物・遺伝)・神経科学+心理療法+社会医学の統合モデルとなりつつあります。
脳のイメージング技術の発展
脳のイメージング技術の発展は、精神医学・神経科学にとって 「第三の革命」 とも言われる重要な出来事です。それ以前、精神疾患は
- 症状
- 行動
- 心理
から推測するしかありませんでした。しかし1970年代以降、脳活動を 直接可視化する技術 が登場し、精神医学は、症候学 → 神経回路科学へ進みました。
脳イメージング技術の発展(年表)
① EEG(脳波)1920年代



発見者:ハンス・ベルガー(1924)
原理
脳の神経活動による電気信号を頭皮から測定。
代表的発見:脳波の種類
| 波 | 状態 |
|---|---|
| α波 | 安静 |
| β波 | 覚醒 |
| θ波 | 眠気 |
| δ波 | 深睡眠 |
意義
初めて脳活動をリアルタイムで測定できた。
② CT(コンピュータ断層撮影)1972



発明者
ゴッドフリー・ハウンスフィールド
アラン・コーマック
原理
X線をコンピュータ処理し脳の断面画像を作る。
意義
脳腫瘍、脳出血などを生体で診断可能にした。
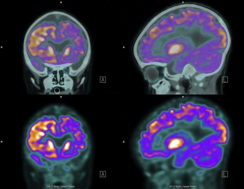
③ PET(陽電子放出断層撮影)1970年代



原理
放射性トレーサーを使い脳代謝を測定。
測定内容
- グルコース代謝
- 神経伝達物質
- 血流
意義
精神疾患研究に革命。
例:うつ病→ 前頭葉代謝低下
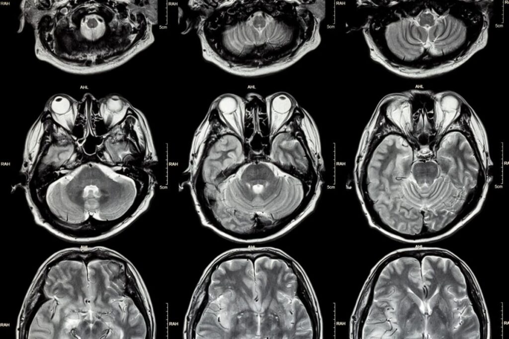
④ MRI(磁気共鳴画像)1970年代後半



原理
磁場と電磁波で水素原子を測定。
特徴
- 高解像度
- 放射線なし
意義
脳構造を詳細に観察可能になった。
⑤ SPECT(単光子放射断層撮影)1980年代



原理
放射性トレーサーで脳血流を測定。
意義
- 認知症
- てんかん
- 脳血流障害
研究に利用。
⑥ fMRI(機能的MRI)1990年代



原理
血中酸素濃度(BOLD信号)を測定。
可能になった研究
- 感情
- 記憶
- 意識
の脳活動を可視化。
意義
認知神経科学の中心技術になりました。
⑦ MEG(脳磁図)1990年代



原理
神経活動による磁場を測定。
特徴
EEGより空間精度が高い
用途
- てんかん手術
- 脳機能研究
脳イメージング技術の進化
1924 EEG
↓
1972 CT
↓
1975 PET
↓
1980 MRI
↓
1980 SPECT
↓
1990 fMRI
↓
1990 MEG
脳科学への影響
脳イメージングは、精神医学に3つの革命をもたらしました。
- 脳構造の可視化
- 例:統合失調症→ 側脳室拡大
- 脳機能の可視化
- 例:うつ病→ 前頭葉低活動
- 脳回路研究
- 現在はconnectome(脳ネットワーク)研究へ。
現代の脳研究
現在は
脳構造
+
脳活動
+
脳ネットワーク
を統合しています。
臨床心理学から見た精神医学の歴史的統合
こまで整理されてきた内容を臨床心理学の視点から総括すると、精神医学・脳神経科学・精神薬理学・DSM・脳イメージングの発展は、臨床心理学の役割を次第に明確化してきた歴史とも言えます。
結論を先に言うと、現在の臨床心理学は「脳・心・社会を統合して理解し介入する学問」として位置づけられています。
以下に歴史の流れを 5つの段階 に整理して説明します。
精神疾患の理解は主に
- 症状観察
- 行動
- 医師の経験
に依存していました。
中心人物
- クレペリン
- ブロイラー
- ヤスパース
特徴
精神疾患は症候群として理解されました。
例
| 病名 | 基準 |
|---|---|
| 統合失調症 | 妄想・幻覚 |
| 躁うつ病 | 気分変動 |
臨床心理学への影響
心理評価や心理療法はまだ独立した学問ではありませんでした。
フロイトによって、精神疾患の理解は無意識の心理過程へ広がりました。
主要理論:精神分析
概念
- 無意識
- 防衛機制
- 転移
臨床心理学の誕生
心理療法が独立した治療技術として確立しました。
精神薬理学の登場により、精神疾患は脳の機能障害として理解されました。
代表例
- クロルプロマジン
- 抗うつ薬
- リチウム
意義
精神疾患は、医学疾患として扱われるようになりました。
臨床心理学への影響
心理療法は、薬物療法と並ぶ補完的治療として位置づけられました。
DSM-III(1980)以降、精神疾患の診断は操作的診断基準になりました。
特徴
症状リストに基づく診断
例
うつ病
- 抑うつ気分
- 興味喪失
- 睡眠障害
意義
精神医学は、科学的研究が可能になりました。
臨床心理学への影響
心理評価、心理検査が診断補助として重要になりました。
脳イメージング
- PET
- MRI
- fMRI
などにより、精神疾患は脳ネットワーク障害として理解されるようになりました。
例:うつ病
前頭前野、扁桃体、海馬の回路異常。
さらに重要な概念:神経可塑性
脳は、経験、心理療法によって変化します。
現在の臨床心理学は、次のモデルで理解されています。
生物心理社会モデル
生物
(脳・遺伝)
+
心理
(認知・感情)
+
社会
(環境)
現代臨床心理学の役割
臨床心理学は、次の領域を統合しています。
| 領域 | 内容 |
|---|---|
| 神経科学 | 脳回路 |
| 精神医学 | 診断 |
| 心理療法 | 認知・情動 |
| 社会心理 | 環境 |
精神疾患は
- 脳
- 心
- 環境
の相互作用です。したがって治療も
薬物療法+心理療法+社会支援になります。
精神医学は次のように進化しました。
症状観察
↓
心理力動
↓
生物学
↓
診断体系
↓
神経科学統合
最も重要な現代理解
現在の臨床心理学は、脳回路への心理療法という考え方に進んでいます。研究ではCBT、EMDR、マインドフルネスが脳の可塑性を誘導することが示されています。
精神医学は症状観察→心理力動→生物学→診断体系→次元的診断(強さ連続的なスペクトラム)→RDoC(研究領域基準):脳科学・遺伝学の再定義やHiTOP(精神病理学の階層的分類):統計学による再編と進化し、臨床心理学は「脳・心・社会を統合した理解で介入する学問」および、脳回路への心理療法(研究ではCBT、EMDR、マインドフルネスが脳の可塑性誘導が示された)という考え方に進んでいます。
最近では精神疾患を脳ネットワーク障害として理解されるようになりましたが、さらに今後はネットワーク精神医学として、脳(生物・遺伝)・神経科学+心理療法+社会医学の統合モデルとなりつつあります。
精神医学、疾病観の論争と精神医学史の10大転換点は次ページをご覧ください。
